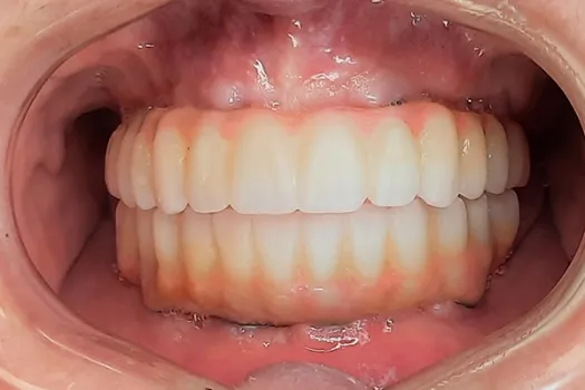
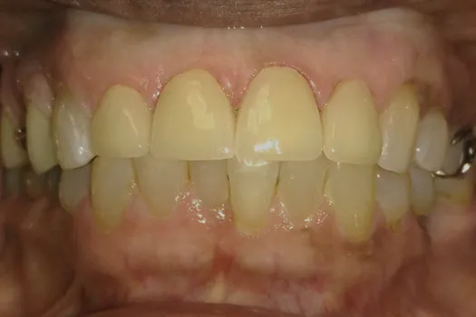
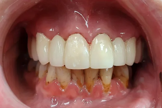
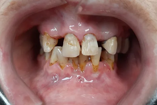
Our team believes in customizing every individual’s care to achieve prime results that ensure your oral health and give you a beautiful smile. Take a look at our gallery to see the smiles our dentist in Forest Hills, New York, has created at Gentle Touch Dental Care! Call us at 718-793-3990 to schedule your next appointment with Dr. Daniel Babadzhanov or Dr. Svetlana Musheyev. We look forward to seeing you!